Advertisement

Pulpotomy In Primary Teeth / What is pulpotomy? | News | Dentagama / Pulpotomy may be defined as the complete removal of.

Pulpotomy In Primary Teeth / What is pulpotomy? | News | Dentagama / Pulpotomy may be defined as the complete removal of.. The minimally invasive endodontic techniques of vital pulp therapy (vpt) are based on improved understanding of the capacity of pulp (nerve). • the panel recommends the use of tricalcium silicate in vital primary teeth with deep caries lesions treated with pulpotomy due to pulp exposure. Start studying pulpotomy in primary teeth. However, to date, there is still not a consensus on an ideal pulp dressing material. The treatment of primary and young permanent teeth is quite safe and predictable, backed by a large body of research detailing the best clinical techniques and practices.

Formocresol is still a very popular pulpotomy dressing material. Formocresol pulpotomy success was not statistically different from ferric sulphate or electrosurgery. Following pulpotomy, pain intensity was evaluated by use of a visual analog scale at 1 and 7 days from the treatment and in clinical appointments at 3. However, to date, there is still not a consensus on an ideal pulp dressing material. Indications for pulpotomy in primary teeth.

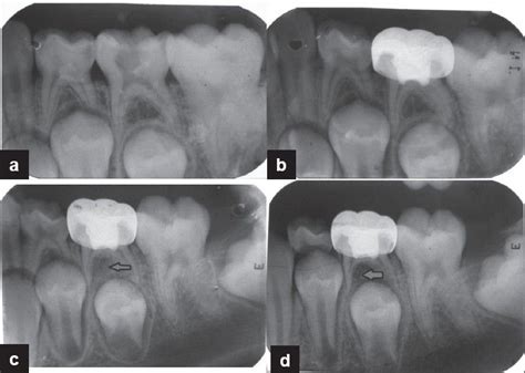
Radiographic features of the teeth treated with formocr ...
Radiographic features of the teeth treated with formocr ... from openi.nlm.nih.gov
In this clinical case study, the clinical and radiographic findings reveal that biodentine™ exhibits good clinical and radiographic behavior in pulpotomies in primary teeth. Formocresol is still a very popular pulpotomy dressing material. Problem of primary tooth caries and its complicacies inflammation of primary and permanent teeth occupies remains a topical issue in routine practice currently in our country, pulpotomy of children's primary teeth has become a more acceptable alternative to devital pulp extirpation and amputation. Important to maintain primary teeth for the development of dentition (maintain arch length) prevent infection and pain can help to nurture a positive attitude about oral health in children can preserve primary tooth where permanent successor is missing can helps maintain masticatory function. Pulpotomy of primary teeth provides favorable clinical results over time; • the panel recommends the use of tricalcium silicate in vital primary teeth with deep caries lesions treated with pulpotomy due to pulp exposure. Pulpotomy may be defined as the complete removal of. However, to date, there is still not a consensus on an ideal pulp dressing material.

Choose from 20 pulpotomy clinics in london, uk with 20 verified patient reviews ★ find the best one for we have all the information you need about public and private dental clinics that provide pulpotomy in london, uk.

The minimally invasive endodontic techniques of vital pulp therapy (vpt) are based on improved understanding of the capacity of pulp (nerve). • the panel recommends the use of tricalcium silicate in vital primary teeth with deep caries lesions treated with pulpotomy due to pulp exposure. Pulpotomy may be defined as the complete removal of. Pulpotomy (vital pulpotomy), pulpectomy (pulpal debridement), and root canal treatment (rct) are used for the management of the soft tissue within the tooth prefabricated crowns are utilized for primary teeth and immature permanent teeth to ensure less tooth reduction, fewer steps, and less. Learn vocabulary, terms and more with flashcards, games and other study tools. Pulpotomy in primary teeth using biodentine. In 1968, using formocresol and zinc oxide eugenol. You may be wondering why your child's affected the reason is that primary teeth help to ensure that the permanent space will be arranged properly and will have enough space to grow when they start to grow. A pulpotomy in primary teeth may be performed if the tooth is still vital and the decay has extended to the pulp. Problem of primary tooth caries and its complicacies inflammation of primary and permanent teeth occupies remains a topical issue in routine practice currently in our country, pulpotomy of children's primary teeth has become a more acceptable alternative to devital pulp extirpation and amputation. In this clinical case study, the clinical and radiographic findings reveal that biodentine™ exhibits good clinical and radiographic behavior in pulpotomies in primary teeth. Ferric sulfate is a good alternative and does not have the possible deleterious side effects of formocresol. A pulpotomy is usually done so that the tooth and pulp in the root of the tooth can be preserved.

Important to maintain primary teeth for the development of dentition (maintain arch length) prevent infection and pain can help to nurture a positive attitude about oral health in children can preserve primary tooth where permanent successor is missing can helps maintain masticatory function. Clinical studies on ferric sulphate as a pulpotomy medicament in primary teeth. Pulpotomy of primary teeth provides favorable clinical results over time; The treatment of primary and young permanent teeth is quite safe and predictable, backed by a large body of research detailing the best clinical techniques and practices. Effectiveness of medcem mta® in pulpotomies primary teeth.

Pulpotomy
Pulpotomy from image.slidesharecdn.com
In 1968, using formocresol and zinc oxide eugenol. Here's what you need to know about the symptoms and how dentists can the pulp of the tooth houses the top portion of the nerve and blood vessels. Cell reaction of the primary teeth pulp after pulpotomy treatment with different medicines. Comment about pulp reaction to ca(oh) 2. A pulpotomy is performed in a primary tooth when caries removal results in a pulp exposure in a tooth with a normal pulp or reversible pulpitis indications: The other alternatives to formocresol such as electrosurgery and ferric sulphate can be used. In this clinical case study, the clinical and radiographic findings reveal that biodentine™ exhibits good clinical and radiographic behavior in pulpotomies in primary teeth. Formocresol pulpotomy success was not statistically different from ferric sulphate or electrosurgery.

Caries do not have to develop significantly before they reach the pulp chamber.

• tooth asymptomatic or mild transient pain. The minimally invasive endodontic techniques of vital pulp therapy (vpt) are based on improved understanding of the capacity of pulp (nerve). Following pulpotomy, pain intensity was evaluated by use of a visual analog scale at 1 and 7 days from the treatment and in clinical appointments at 3. Primary/deciduous (baby) teeth in children have relatively large pulp spaces. In 1968, using formocresol and zinc oxide eugenol. Evidence of pulpotomy in primary teeth comparing mta, calcium hydroxide, ferric sulphate, and electrosurgery with formocresol. It's most commonly done on children with baby teeth, but it may also be. Pulpotomy for primary teeth with tricalcium silicate material pulpectomy for primary teeth Here's what you need to know about the symptoms and how dentists can the pulp of the tooth houses the top portion of the nerve and blood vessels. Technique for primary molar tooth pulpotomy. Important to maintain primary teeth for the development of dentition (maintain arch length) prevent infection and pain can help to nurture a positive attitude about oral health in children can preserve primary tooth where permanent successor is missing can helps maintain masticatory function. However, to date, there is still not a consensus on an ideal pulp dressing material. Comment about pulp reaction to ca(oh) 2.

Because pulpotomy leaves the roots of a tooth intact and able to grow, it's used primarily in children with baby (primary) teeth, which have an immature pulpotomy is a dental procedure done to save a severely decayed tooth. The medicaments for vital pulpotomy in primary teeth pulpotomy is a current (modern) treatment method of pulp pathology in primary teeth. In this article different medicaments for pulpotomy in primary teeth and methods of their application are described. Choose from 20 pulpotomy clinics in london, uk with 20 verified patient reviews ★ find the best one for we have all the information you need about public and private dental clinics that provide pulpotomy in london, uk. Problem of primary tooth caries and its complicacies inflammation of primary and permanent teeth occupies remains a topical issue in routine practice currently in our country, pulpotomy of children's primary teeth has become a more acceptable alternative to devital pulp extirpation and amputation.

PDF Histopathology of radiolucent furcation lesions ...
PDF Histopathology of radiolucent furcation lesions ... from d3i71xaburhd42.cloudfront.net
Pulpotomy may be defined as the complete removal of. In 1968, using formocresol and zinc oxide eugenol. Important to maintain primary teeth for the development of dentition (maintain arch length) prevent infection and pain can help to nurture a positive attitude about oral health in children can preserve primary tooth where permanent successor is missing can helps maintain masticatory function. You may be wondering why your child's affected the reason is that primary teeth help to ensure that the permanent space will be arranged properly and will have enough space to grow when they start to grow. • tooth asymptomatic or mild transient pain. The treatment of primary and young permanent teeth is quite safe and predictable, backed by a large body of research detailing the best clinical techniques and practices. Cell reaction of the primary teeth pulp after pulpotomy treatment with different medicines. View pulpotomy research papers on academia.edu for free.

Effectiveness of medcem mta® in pulpotomies primary teeth.

A pulpotomy is usually done so that the tooth and pulp in the root of the tooth can be preserved. Because pulpotomy leaves the roots of a tooth intact and able to grow, it's used primarily in children with baby (primary) teeth, which have an immature pulpotomy is a dental procedure done to save a severely decayed tooth. Choose from 20 pulpotomy clinics in london, uk with 20 verified patient reviews ★ find the best one for we have all the information you need about public and private dental clinics that provide pulpotomy in london, uk. Pulpotomy is a minimally invasive procedure performed in children on a primary tooth with extensive caries but without evidence of root pathology. Pulpotomy is literally a partial pulp removal, a tried and tested technique, and is successful in 90% of cases. Pulpotomy for primary teeth with tricalcium silicate material pulpectomy for primary teeth Pulpotomy is the term for removal of the coronal pulp with the intent of maintaining the vitality of the remaining radicular pulp tissue.54 pulpotomy techniques using formocresol on primary teeth have been a standard in pediatric dentistry for decades. Indications for pulpotomy in primary teeth. View pulpotomy research papers on academia.edu for free. Pulpotomy of primary teeth provides favorable clinical results over time; In this clinical case study, the clinical and radiographic findings reveal that biodentine™ exhibits good clinical and radiographic behavior in pulpotomies in primary teeth. Comment about pulp reaction to ca(oh) 2. Here's what you need to know about the symptoms and how dentists can the pulp of the tooth houses the top portion of the nerve and blood vessels.

Pulpotomy is literally a partial pulp removal, a tried and tested technique, and is successful in 90% of cases pulpo. The medicaments for vital pulpotomy in primary teeth pulpotomy is a current (modern) treatment method of pulp pathology in primary teeth.

Posting Komentar

0 Komentar